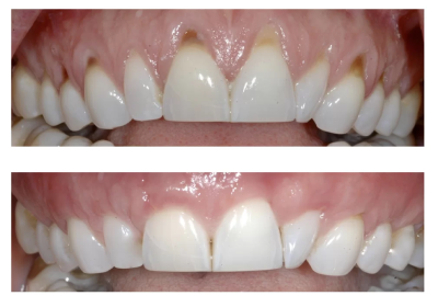
GINGIVAL GRAFT
Gum Recession Treatment in Salt Lake City
Your content goes here. Edit or remove this text inline or in the module Content settings. You can also style every aspect of this content in the module Design settings and even apply custom CSS to this text in the module Advanced settings.
What Causes Gum Recession?
Gum recession is a dental condition characterized by the gradual or sudden exposure of the tooth roots as the gum tissue recedes or pulls back from its original position. Several factors can contribute to the development of gum recession, and being aware of these causes can help individuals take preventive measures and seek timely treatment.
- Poor Oral Hygiene: Inadequate dental care is one of the leading causes of gum recession. Failing to brush and floss regularly can lead to the accumulation of plaque and tartar along the gumline, promoting bacterial growth. Over time, these harmful bacteria can irritate and inflame the gums, causing them to recede.
- Aggressive Brushing: While maintaining good oral hygiene is essential, brushing too vigorously can be detrimental to gum health. Aggressive brushing can wear away the delicate gum tissue, leading to recession. Using a soft-bristled toothbrush and employing gentle circular motions can help prevent unnecessary trauma to the gums.
- Gum Disease: Periodontal disease, commonly known as gum disease, is a major cause of gum recession. This condition occurs when plaque and tartar build-up lead to an infection of the gum tissue. As the infection progresses, the gums can recede, exposing the tooth roots and leading to further complications if left untreated.
- Genetics: Unfortunately, some individuals may be more predisposed to developing gum recession due to genetic factors. Certain genetic traits can result in thinner or weaker gum tissue, making it more susceptible to recession even with proper oral hygiene practices.
- Hormonal Changes: Hormonal fluctuations, such as those occurring during puberty, pregnancy, and menopause, can affect the blood flow to the gums, making them more sensitive and vulnerable to recession.
- Tobacco Use: Smoking or using other tobacco products can negatively impact gum health. Tobacco use weakens the immune system, making it harder for the body to fight off infections and recover from gum-related issues.
- Teeth Grinding (Bruxism): Habitual teeth grinding or clenching can exert excessive pressure on the gums and cause them to recede over time. If left untreated, bruxism can lead to various dental problems, including gum recession.
- Crooked Teeth or Misaligned Bite: Malocclusion, where the teeth do not fit together properly, can create excessive forces on certain areas of the gums, leading to recession in those specific regions.
Can You Reverse Receding Gums?
Reversing receding gums is possible in some cases, but it depends on the underlying cause and the extent of the recession. If gum recession is detected early and is caused by factors such as poor oral hygiene, aggressive brushing, or hormonal changes, taking appropriate measures can help stop or even reverse the condition.
Our Treatment Options for Gum Recession
We offer several different treatment options to help patients regain healthy gum tissue and improve their overall oral health.
- Gum Grafting: During this treatment, the dentist takes gum tissue from another area of the mouth (usually the palate) or uses donor tissue to cover the exposed tooth roots. This graft helps to thicken and strengthen the gumline, reducing sensitivity and protecting the tooth roots from further damage.
- Pinhole Surgical Technique (PST): PST is a minimally invasive alternative to traditional gum grafting. In this procedure, the dentist creates a tiny pinhole-sized incision in the gum tissue above the affected area. Specialized instruments are then used to gently reposition the gums over the exposed tooth roots. PST offers quicker healing and minimal discomfort compared to traditional gum grafting.
- Scaling and Root Planing: Scaling and root planing is a non-surgical treatment often used for early-stage gum disease and gum recession caused by periodontal issues. This deep cleaning procedure involves removing plaque and tartar from below the gumline (scaling) and smoothing the tooth roots (root planing). By eliminating the bacteria and irritants, the gums can heal and reattach to the teeth more effectively.
Why Choose Us?
If you require gum recession treatments in Salt Lake City, our experienced team of periodontal specialists is here to help. With expertise in assessing gum recession cases, we offer personalized treatment plans tailored to your specific needs. We are dedicated to providing the best possible care to set you on the path to healthier gums and improved oral health.
SEDATION OPTIONS
You deserve to feel comfortable and confident when visiting Utah Periodontal Specialists.
DENTAL IMPLANTS
A dental implant is placed into the bone to simulate a root. Once the implant has healed your dentist will place the crown.
OSSEOUS SURGERY
Periodontal surgery is performed on patients who have periodontal disease in order to reduce pockets.





